caries-severa-de-primera-infancia-en-odontopediatria

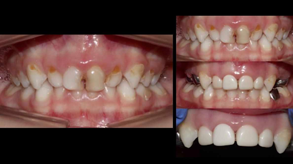
Los autores presentan un caso clínico de caries de primera infancia severa y explican que es una afección que puede condicionar la salud bucodental en la edad adulta, además de causar alteraciones del sueño, ansiedad y depresión, agresividad e incluso déficit de atención

Introducción
La caries dental es actualmente la enfermedad crónica más frecuente en la infancia con una alta prevalencia en niños en edad preescolar.

En 1978, la Academia Americana de Odontopediatría introdujo el término “Nursing Bottle Caries” para definir una forma muy agresiva de caries que se asoció con el uso prolongado del biberón y cuya prevención se centraba en el abandono del mismo tras superar el primer año de vida del niño.

Posteriormente, otros términos tales como “caries rampante, caries de incisivos, caries labiales, caries de aparición temprana, caries de la primera infancia o caries del lactante” han sido empleados para hacer referencia a este tipo de enfermedad.

VER CASO CLINICO

Acerca del Autor/ra
Endo Dental Care

Endo Dental Care, Clínica Odontológica liderada por la Dra. Vanessa Moreno. Servicios Odontológicos

Ver Perfil